发布时间:2025/10/11 点击数:503 
在个性化医疗浪潮下,原代癌症组织已成为癌症诊断、药物研发与患者来源模型(PDM)构建的 “核心原料”。然而,一个长期困扰科研与临床领域的痛点始终存在:癌症组织从获取到使用的 “时间差” 与 “空间差”—— 组织离体后质量急速衰减,若 retrieval 地点与研究/诊断地点距离较远,长途运输更会导致组织活力、形态与分子完整性严重受损,从而影响研究结果的准确性与临床诊断的可靠性。
对此,TissueReady PLUS 提供了一种简便的解决方案(如下图),可在室温下维持新鲜组织的活性与质量,延长保存期、便于运输、提升实验流程灵活性,并改善基于这些组织的筛选及模型构建质量。

判断组织保存质量的核心标准,在于其 histological(组织学)完整性、关键标志物表达及分子物质(如 RNA)的稳定性 —— 这些正是临床病理诊断与后续研究的基础。研究团队从患者处获取肝、肾、食道三种常见癌症组织,由临床病理实验室按标准流程处理,实验分为三组对照:
新鲜处理组(非储存,立即加工,作为 “金标准”);
TissueReady PLUS 组(室温储存 2 天);
传统 DMEM 培养基组(室温储存 2 天,作为常规对照)。
随后,通过病理诊断中核心的技术手段:H&E 染色、免疫组织化学(IHC)染色(检测 AE1/AE3 和 Ki67)及原位杂交(检测 17 号染色体 / HER2),进行盲审评估(由对组织处理条件不知情的临床病理医师操作)、整理观察结果,并与未保存组织及仅用培养基保存的组织进行对比。
对在室温下采用 TissueReady PLUS 保存 2 天的肿瘤组织进行数据收集与组织学评估,结果显示:
组织学完整性维持良好;
AE1/AE3 和 Ki67 标志物表达得以保留;
可成功提取RNA。

图1:在室温下采用 TissueReady PLUS 保存 2 天的肝癌组织,其组织学完整性及病理标志物均得以保留。肝癌组织取自患者后送至临床病理实验室,分别进行即时处理(未保存)、用 TissueReady PLUS 保存或用 DMEM 培养基保存。样本在室温下保存 2 天后进行处理,经固定、石蜡包埋、切片后,进行 H&E 染色及免疫组织化学标志物染色——AE1/AE3(细胞角蛋白混合物)、Ki67(增殖标志物)。主图比例尺 = 500 微米,嵌入图比例尺 = 100 微米。

图2:在室温下采用 TissueReady PLUS 保存 2 天的肾癌组织(a)和食管癌组织(b),其组织学完整性及病理标志物均得以保留。肾癌组织与食管癌组织取自患者后送至临床病理实验室,分别进行即时处理(未保存)、用 TissueReady PLUS 保存或用 DMEM 培养基保存。样本在室温下保存 2 天后进行处理,经固定、石蜡包埋、切片后,进行 H&E 染色及免疫组织化学标志物染色——AE1/AE3(细胞角蛋白混合物)、Ki67(增殖标志物)。主图比例尺 = 500 微米,嵌入图比例尺 = 100 微米。

图3:在室温下采用 TissueReady PLUS 保存 2 天的肿瘤组织,其组织学完整性质量良好。肝癌组织(a)、肾癌组织(b)和食管癌组织(c)取自患者后送至临床病理实验室,分别进行即时处理(未保存)、用 TissueReady PLUS 保存或用 DMEM 培养基保存。样本在室温下保存 2 天后进行处理,经固定、石蜡包埋、切片后进行 H&E 染色。H&E 染色切片由临床病理医师进行评估,并给出组织学完整性评分。组织学完整性评分采用10分制:10 分=完好,9-5 分=质量良好,4-0 分=质量差(不可用)。(d)为三种组织的汇总数据,不同形状的数据点代表不同来源的组织:正方形=肝癌,圆形=肾癌,三角形=食管癌。
采用 TissueReadyPLUS 保存的组织,其 RNA 产量未出现损失。

图4:从采用 TissueReady PLUS 保存的组织中可分离出 RNA。肿瘤组织取自患者后送至临床病理实验室,分别进行即时处理(未保存)、用 TissueReady PLUS 保存或用 DMEM 培养基保存。样本在室温下保存 2 天后进行处理,采用 RNA 提取试剂盒提取 RNA,并用纳米滴分光光度计评估 RNA 产量。不同形状的数据点代表不同来源的组织:正方形=肝癌,圆形=肾癌,三角形=食管癌。
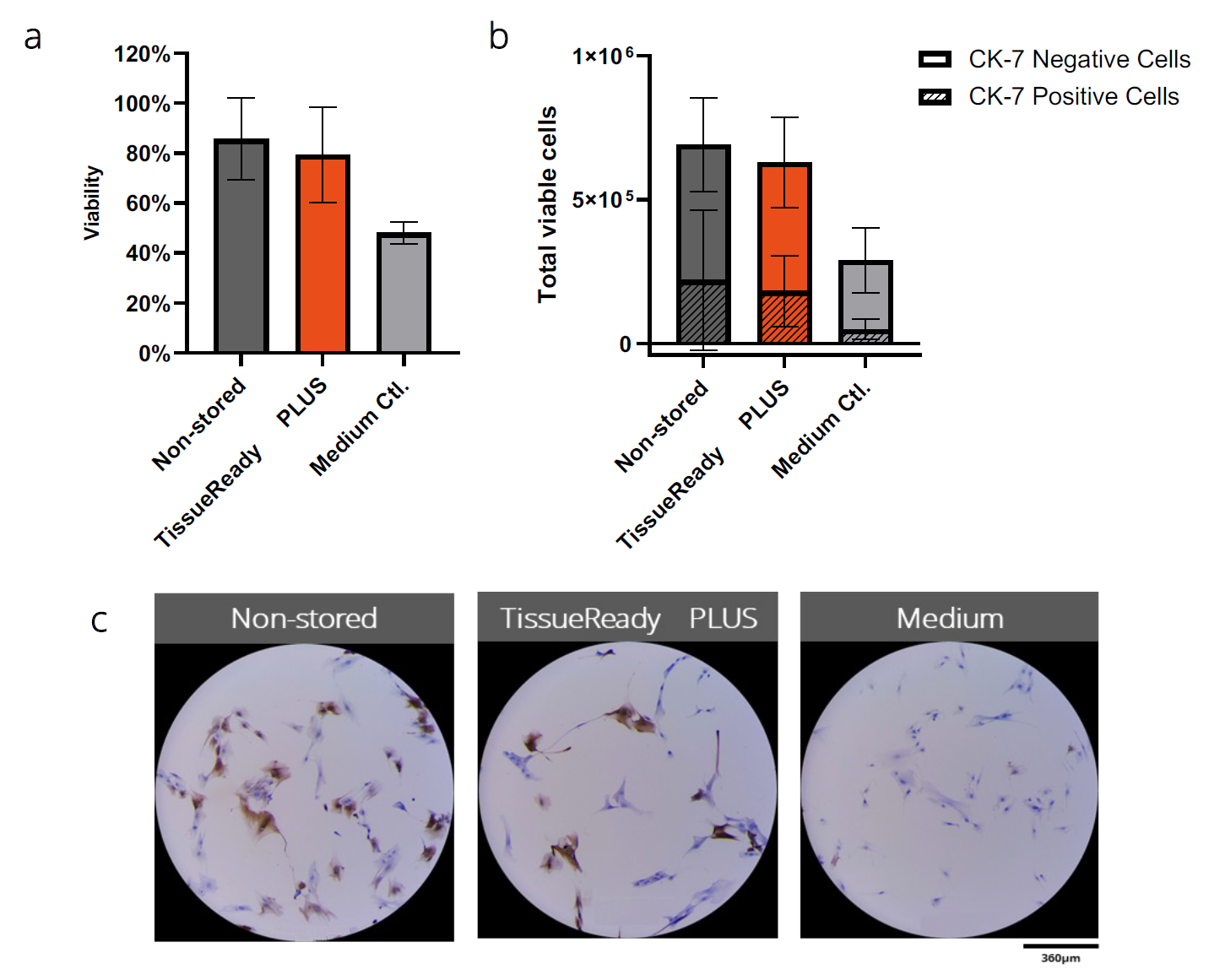
从肿瘤组织构建细胞模型的能力,在癌症研究、药物研发及医疗中具有重要意义。为评估从肿瘤组织中分离细胞的效果,研究人员将肿瘤组织在室温下用 TissueReady PLUS 保存 4-5天后,通过组织解离法分离细胞、进行扩增并对癌症标志物进行染色,同时与从新鲜未保存肿瘤组织中分离的细胞进行对比。结果显示,从采用 TissueReady PLUS 保存的组织中获取的细胞,在以下方面与未保存的新鲜组织细胞相当:
细胞活性
细胞产量
细胞角蛋白7阳性(癌细胞)与细胞角蛋白7阴性(正常细胞)的比例
持续扩增/传代能力(可传代6次,且可冻存复苏)

图5:从新鲜肿瘤组织与在室温下用 TissueReady PLUS 保存 4-5 天的肿瘤组织中分离的细胞,其活性和产量与新鲜组织样本相当。肿瘤组织取自患者后送至临床病理实验室,分别用 TissueReady PLUS 或培养基保存,随后运至肿瘤学研究机构。组织(自封装起)在室温下保存 4-5 天后,通过组织解离法分离细胞。分离的细胞经扩增后固定,并用细胞角蛋白 7 抗体染色,以区分癌细胞与非癌细胞。(a)通过明场显微镜观察及台盼蓝排斥法测定的细胞活性;(b)通过明场显微镜观察及台盼蓝排斥法计数活细胞,计算得出的活细胞产量。细胞在载玻片上固定后,采用重组兔抗人细胞角蛋白 7 单克隆一抗及生物素化山羊抗兔多克隆二抗进行免疫组织化学染色,使用 Vectastain ABC 试剂盒与 DAB 底物试剂盒显色。(c)细胞角蛋白 7 染色固定细胞的明场图像,阳性细胞(棕色)与阴性细胞(蓝色)用于计算癌细胞占比。比例尺=360微米。
TissueReady PLUS 的突破,源于Atelerix自成立以来的核心使命:通过技术创新,解决生物样本室温储存与运输的痛点,让生命科学领域随时获取高质量生物材料。

在低温冷链成本高、运输范围受限、样本易受损的传统模式下,Atelerix 以 “ambient temperature (室温)” 为核心切入点,研发的 TissueReady PLUS 不仅降低了样本储存运输的门槛,更通过 “保存质量不打折” 的性能,为科研与临床搭建了 “优质样本流通” 的桥梁 —— 无论是临床病理科的异地组织诊断,还是药企的多中心药物研发,亦或是科研机构的跨区域样本合作,都能依托这一技术实现 “样本质量可控、研究结果可靠”。
在癌症研究向 “精细化、个性化” 迈进的今天,“样本质量” 直接决定了研究的深度与临床转化的成功率。TissueReady PLUS 以 “室温保存 2 天保组织、4-5 天保细胞” 的硬核性能,打破了传统储存的时空限制,让每一份珍贵的原代癌症组织都能发挥较大价值。
正如 Atelerix 所秉持的理念:“Superior samples and materials equal better results!(优质样本,铸就更佳成果)。当 TissueReady PLUS 成为癌症组织储存与运输的新标准,我们有理由相信,更多基于高质量样本的科研突破与临床创新,将加速到来。
关于Atelerix其他信息,推荐阅读:曼博生物代理英国Atelerix,助力新鲜样本常温保存和运输长达2周!

关于更多产品价格、案例数据、样品适用等信息,欢迎咨询上海曼博生物!





