发布时间:2026/04/09 点击数:155 预包被玻连蛋白(vitronectin)的QkPlate 6孔板 (Qk2001),让您的干细胞实验更标准、更可靠。
图1:QkPlate人源玻连蛋白预包被6孔板(Qk2001)
玻连蛋白(vitronectin)常应用于干细胞培养,可为干细胞多能性维持提供标准化培养环境,适用于干细胞的无饲养层培养、扩增、分化及重编程。Qkine重组玻连蛋白(Qk120)纯度高、内毒素残留低,可稳定支持干细胞、原代细胞、类器官的培养,亦适用于高灵敏度的神经分化实验。vitronectin的详细背景请看后文。QkPlate 6孔玻连蛋白板预先涂有Qkine高纯度玻连蛋白Qk120。
QkPlate 6孔板为即用型产品,由Qkine位于英国剑桥的实验室制造:将重组人玻连蛋白(Qk120)以每孔5µg的量包被于6孔组织培养板中,并在无菌条件下干燥,然后将培养板真空密封,并在室温下保存直至使用。QkPlate 6孔板可明显节省实验准备时间,特别适用于高通量实验场景。工业级标准化包被工艺确保包被均一性,降低实验变异性,提高结果重复性。准确定量包被实现蛋白完全利用,避免自行包被带来的蛋白浪费和隐性成本,适合科研规模化实验及临床前研究对严格质控的需求。曼博生物直售QkPlate 6孔板,如需产品咨询,欢迎点击访问曼博生物官网了解QkPlate 6孔板产品详情。
经认证不含动物源成分(AOF)
室温保存
QkPlates已通过自生产日期起长达6个月的测试
内毒素:<0.05EU/μg蛋白
经无菌测试
可助力iPSC的便捷、可重复培养。
❌离心、重悬、稀释、孵育、清洗……一套流程至少3小时,宝贵的科研时间都耗在了试剂准备上。
❌人工包被的孔间差异、批次差异,让类器官形态不均、干细胞贴壁率波动,实验数据较难复现。
❌包被不均、干燥、污染……新手操作易导致实验返工,既浪费昂贵蛋白,又延误项目进度。
❌药物筛选、应急实验等时间敏感场景,人工包被至少2小时的孵育期会直接延误关键节点。
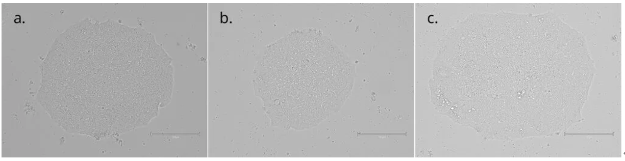
在E8样培养基中,于Qkine玻连蛋白包被的培养板上培养的iPSC集落成像显示,其形态结构高度完整,包括边界清晰的致密集落形态。
图2:QkPlate 6孔板(Qk2001)的培养效果。(A)初始接种后培养3天;(B)传代1次后培养7天;(C)传代3次后培养14天(比例尺=150µm)。6孔板包被Qk120玻连蛋白,批号204660。
完整的研究,欢迎联系我们获取应用笔记:使用QkPlate预制干燥的玻连蛋白包被培养板,可实现iPSC的稳定培养。同时,也欢迎点击查看使用Qkine重组玻连蛋白(Qk120)进行无需周末换液的干细胞培养方案。

图3:使用QkPlate预制干燥的玻连蛋白包被培养板,可实现iPSC的稳定培养。
QkPlate6孔玻连蛋白板预先涂有Qkine高纯度玻连蛋白Qk120,用于iPSCs的可重复培养。
玻连蛋白是一种存在于细胞外基质(ECM)和血浆中的糖蛋白。它在多种生理过程中发挥着重要的作用,包括细胞黏附、迁移、伤口愈合和免疫反应调节[1]。玻连蛋白与多种细胞表面受体和其他ECM蛋白相互作用,使其成为组织重塑和修复的关键参与者[2]。玻连蛋白参与多种生物过程,包括通过与整合素结合促进细胞粘附和迁移、伤口愈合和组织修复、调节蛋白水解和纤维蛋白溶解、调节免疫反应以及通过促进新血管的形成和支持肿瘤发生和转移促进血管生成[3-5]。
在细胞培养中,玻连蛋白因其在细胞黏附、增殖、分化和存活中的关键作用而被应用。它与整合素和其他细胞表面受体相互作用,为各种细胞类型(比如在干细胞研究和再生医学领域)创造生理相关的微环境[6-7]。作为一种包被基质,玻连蛋白促进细胞黏附,特别是上皮细胞、内皮细胞和某些癌细胞。通过与整合素结合,玻连蛋白激活PI3K/AKT和MAPK等细胞内信号通路,从而增强细胞增殖和存活。这种黏附作用可防止细胞凋亡(一种细胞从细胞外基质脱离时发生的细胞死亡形式),从而确保培养细胞的维持和扩增[8]。
在干细胞应用中,玻连蛋白用于培养和维持iPSCs和ESCs,促进其有效分化为各种谱系。它也是明确的、无异种成分培养系统的关键组成部分,消除了对动物源性产品的需求,减少了变异性,提高了干细胞研究的可重复性[7,9-11]。
在类器官技术中,玻连蛋白因其增强细胞黏附、增殖和分化的特性,在类器官的发育和维持中发挥着关键作用。作为一种基质支架,玻连蛋白支持细胞的初始黏附和聚集,这对于稳定的类器官结构形成很重要[12]。玻连蛋白通过与细胞表面的整合素(如αvβ3和αvβ5)结合,促进细胞聚集,这是类器官生长的先决条件[13]。它激活整合素介导的信号通路,如PI3K/AKT和MAPK/ERK通路,促进细胞存活、增殖和分化,这对于扩增类器官内的祖细胞及其分化很重要。玻连蛋白已被证实参与肝脏类器官的发育[14]。
在组织工程和再生医学领域,玻连蛋白包被的支架和生物材料能够增强细胞黏附、增殖和分化,从而促进功能性组织构建体的形成[15-16]。此外,玻连蛋白还用于制备细胞治疗所需的细胞,确保其在移植后的活性和功能。
在无血清培养基的生产过程中,玻连蛋白对于优化培养条件尤为重要,它能够弥补血清通常提供的促黏附因子的缺失,并在特定条件下支持细胞生长[7,17]。使用重组玻连蛋白可确保批次间的一致性,这对于实验和临床应用中的可重复性很重要。
从结构上看,玻连蛋白是一种分子量约为75kDa的多功能糖蛋白。它包含多个结构域,包括位于N端的生长介素B结构域,该结构域对于结合尿激酶受体和稳定纤溶酶原激活物抑制剂-1(PAI-1)的非活性形式很重要。RCL(蓖麻凝集素样)结构域对于肝素结合很重要,而血红素结合蛋白样重复序列则促进其与整合素和其他细胞外基质成分的相互作用[2,6,18]。玻连蛋白可以发生构象变化,从而暴露或隐藏特定的结合位点,使其能够与多种配体和受体相互作用。
总之,玻连蛋白在多种应用中发挥着很重要的作用,在干细胞和类器官应用中,它为干细胞的维持、分化和重编程提供了一个明确且支持性的微环境。玻连蛋白的应用提高了多种细胞培养的可重复性和效率,使其成为科研和治疗领域的重要工具。
QKine总部位于英国剑桥,是一家通过ISO9001:2015认证的公司。作为蛋白质创新的指引者,产品范围涵盖了多个应用领域,旨在提高您研究的可重复性。QKine支持并创新于新兴领域,如类器官和器官芯片、细胞农业、再生医学、合成水凝胶和生物打印等。
凭借强大的制造流程,QKine生产高纯度、高品质、无动物成分的生长因子、细胞因子和其他复杂蛋白质,目前已上架近100种因子,新的产品还在不断上架,其中约30%的产品目录由独特的产品组成,包括无标签的热稳定FGF-2(FGF2-G3),头个无动物、化学成分限定的TGF-β1,用于的干细胞培养基,以及无动物成分的HGF(NK1)。
QKine可以通过提供批量预订、批量订单、定制装瓶和质量保证(QA)来支持规模化和商业制造。曼博生物官方供应QKine产品,可提供本地化技术支持,如有需要欢迎咨询。
[1] Schvartz, I., Seger, D. & Shaltiel, S. Vitronectin. The International Journal of Biochemistry & Cell Biology 31, 539–544 (1999). doi: 10.1016/s1357-2725(99)00005-9
[2] Feldinghabermann, B. & Cheresh, D. Vitronectin and its receptors. Current Opinion in Cell Biology 5, 864–868 (1993). doi: 10.1016/0955-0674(93)90036-p
[3] Hurt, E. M. et al. Identification of Vitronectin as an Extrinsic Inducer of Cancer Stem Cell Differentiation and Tumor Formation. Stem Cells 28, 390–398 (2010). doi: 10.1002/stem.271
[4] Jang, Y.-C., Tsou, R., Gibran, N. S. & Isik, F. F. Vitronectin deficiency is associated with increased wound fibrinolysis and decreased microvascular angiogenesis in mice. Surgery 127, 696–704 (2000). doi: 10.1067/msy.2000.105858
[5] Preissner, K. T. The role of vitronectin as multifunctional regulator in the hemostatic and immune systems. Blut 59, 419–431 (1989). doi: 10.1007/BF00349063
[6] Madsen, C. D. & Sidenius, N. The interaction between urokinase receptor and vitronectin in cell adhesion and signalling. European Journal of Cell Biology 87, 617–629 (2008). doi: 10.1016/j.ejcb.2008.02.00
[7] Chen, G. et al. Chemically defined conditions for human iPSC derivation and culture. Nat Methods 8, 424–429 (2011). https://pubmed.ncbi.nlm.nih.gov/21478862/
[8] Hasanuzzaman, M., Kutner, R., Agha-Mohammadi, S., Reiser, J. & Sehgal, I. A doxycyclineinducible urokinase receptor (uPAR) upregulates uPAR activities including resistance to anoikis in human prostate cancer cell lines. Mol Cancer 6, 34 (2007). doi: 10.1186/1476-4598-6-34
[9] Kaini, R. R., Shen-Gunther, J., Cleland, J. M., Greene, W. A. & Wang, H.-C. Recombinant Xeno-Free Vitronectin Supports Self-Renewal and Pluripotency in Protein-Induced Pluripotent Stem Cells. Tissue Engineering Part C: Methods 22, 85–90 (2016). doi: 10.1089/ten.TEC.2015.0180
[10] Rowland, T. J. et al. Roles of Integrins in Human Induced Pluripotent Stem Cell Growth on Matrigel and Vitronectin. Stem Cells and Development 19, 1231–1240 (2010). doi: 10.1089/scd.2009.0328
[11] Sohi, A. N. et al. Synergistic effect of co-immobilized FGF-2 and vitronectin-derived peptide on feeder-free expansion of induced pluripotent stem cells. Materials Science and Engineering: C 93, 157–169 (2018). doi: 10.1016/j.msec.2018.07.072
[12] Ahn, S. et al. Engineering fibronectin-templated multi-component fibrillar extracellular matrices to modulate tissue-specific cell response. Biomaterials 308, 122560 (2024). https://doi.org/10.1016/j.biomaterials.2024.122560
[13] Zhu, Z. et al. Zika Virus Targets Glioblastoma Stem Cells through a SOX2-Integrin αvβ5 Axis. Cell Stem Cell 26, 187-204.e10 (2020). doi: 10.1016/j.stem.2019.11.016
[14] Wijler, L. A. et al. Onward Spread from Liver Metastases Is a Major Cause of Multi-Organ Metastasis in a Mouse Model of Metastatic Colon Cancer. Cancers 16, 1073 (2024). doi: 10.3390/cancers1605107
[15] Juhásová, J. et al. Osteogenic Differentiation of Miniature Pig Mesenchymal Stem Cells in 2D and 3D Environment. Physiol Res 559–571 (2011) doi:10.33549/physiolres.932028. doi:10.33549/physiolres.932028
[16] Papo, N., Silverman, A. P., Lahti, J. L. & Cochran, J. R. Antagonistic VEGF variants engineered to simultaneously bind to and inhibit VEGFR2 and α v β 3 integrin. Proc. Natl. Acad. Sci. U.S.A. 108, 14067–14072 (2011). doi: 10.1073/pnas.1016635108
[17] Richards, S., Leavesley, D., Topping, G. & Upton, Z. Development of Defined Media for the Serum-Free Expansion of Primary Keratinocytes and Human Embryonic Stem Cells. Tissue Engineering Part C: Methods 14, 221–232 (2008). doi: 10.1089/ten.tec.2007.0428
[18] Jensen, J. K., Wind, T. & Andreasen, P. A. The vitronectin binding area of plasminogen activator inhibitor‐1, mapped by mutagenesis and protection against an inactivating organochemical ligand. FEBS Letters 521, 91–94 (2002). doi: 10.1016/s0014-5793(02)02830-2
Qkine细胞因子:助您实现经济有效的hiPSC培养和基因工程
本文基于Qkine公开资料由其中国提供商上海曼博生物整理,仅用于科研信息分享。上海曼博生物可提供QkPlate预包被玻连蛋白板、重组玻连蛋白Qk120及QKine相关生物活性蛋白产品。





