发布时间:2026/03/31 点击数:222 Nodal蛋白(nodal growth differentiation factor Gene,淋巴结生长分化因子)是转化生长因子β(TGF-β)超家族成员,在胚胎发育过程中发挥关键作用。
Nodal与II型激活素受体(ActRII/IIB)结合,导致I型激活素受体(激活素受体样激酶,或ALK,包括ALK1-7)的募集、磷酸化和激活。一旦被激活,Nodal受体就会募集并磷酸化I型激活素受体(激活素受体样激酶,或ALK,包括ALK1-7)。
Nodal信号通路可调控内胚层与中胚层的胚层特化,同时抑制神经外胚层的形成,此外,该蛋白还与肿瘤转移密切相关。研究证实,重组Nodal蛋白能够维持胚胎干细胞(hESCs)与诱导多能干细胞(iPSCs)的多能性。
Qkine重组人源Nodal蛋白采用无动物源(AOF)工艺生产,具备稳定、一致的生物活性,可确保干细胞多能性维持实验的重复性。该重组蛋白为分子量25.9kDa的同源二聚体,无标签、无载体蛋白。

本品亦提供符合GMP标准的细胞治疗级产品,如有需求请联系上海曼博生物。
1. 高纯度人结蛋白(UniProt:Q96S42)
2. 5.9kDa(同源二聚体)
3. 通过SDS-PAGE定量密度测定法测定,纯度>98%。
4. 不含动物源性成分(AOF)和载体蛋白
5. 在大肠杆菌中表达
6. 本产品由Qkine位于英国剑桥的符合ISO9001:2015标准的工厂生产。
7. 由乙腈和三氟乙酸冻干而成
8. 将样品重悬于10mMHCl(复溶液A)中,浓度>50µg/ml,如有需要可添加载体蛋白,制备一次性使用的小份,并冷冻保存于-20°C(短期)或-80°C(长期)。
9. 蛋白质别名:Nodal Growth Differentiation Factor, Nodal Homolog,HTX5,Qk29
10. 物种反应性:人类。物种相似性:小鼠-98%、大鼠-98%、牛源-96%*、猪肉-97%*(*序列未经证实)
11. 经常一起使用:重组人ActivinA蛋白(Qk001)、重组人BMP-4蛋白(Qk038)、重组人BMP-2蛋白(Qk007)
12. 相关探索套装:iPSC培养试剂盒(Qk512)
13. 质谱分析:具有预期质量的单一物种
14. 从原液瓶中回收率:>95%
15. 内毒素:<0.05EU/μg蛋白
采用P19细胞CAGA荧光素酶报告基因检测法测定重组Nodal活性。将转染的P19细胞用Nodal进行系列稀释处理6小时,每个处理重复三次。测定萤火虫荧光素酶活性,并以对照Renilla荧光素酶活性进行标准化。数据来自Qk029批号204811。EC50=147ng/ml(5.68nM)。

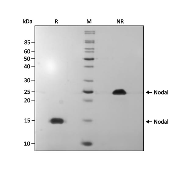
重组nodal蛋白在还原(R)条件下迁移至约14kDa(单体)处,在非还原(NR)条件下迁移至约25kDa(二聚体)处,形成一条主要条带。未检测到其他污染蛋白条带。纯化的重组蛋白(3µg)在还原(+β-巯基乙醇,R)和非还原(NR)条件下,经15%(w/v)SDS-PAGE电泳分离,并用考马斯亮蓝R250染色。数据来自Qk029,批号#204811。

iPSC衍生的中胚层分化
iPSC向内胚层的分化
癌症研究
维持诱导多能干细胞的多能性
未分化胚胎干细胞的维持
Nodal是转化生长因子β(TGF-β)蛋白家族的成员,该家族蛋白在发育和成体组织中均参与调控细胞命运。TGF-β家族主要包含三个亚组:激活素和抑制素、骨形态发生蛋白(BMP)以及Nodal蛋白。Nodal蛋白以其在胚胎发育和中胚层形成中的作用而闻名[1,2]。Nodal信号在早期上胚层阶段非常关键,其功能是维持关键多能性因子的表达。Nodal蛋白与BMP共同调控内胚层和中胚层胚层的分化,同时抑制神经外胚层的形成[2]。
Nodal蛋白以大分子前体的形式合成,经切割后生成成熟蛋白,成熟蛋白以二硫键连接的同源二聚体形式发挥功能[2]。TGF-β配体通过I型和II型跨膜丝氨酸/苏氨酸激酶受体传递信号,激活下游Smad信号通路。研究表明,BMP信号通路利用Smad1、Smad5和Smad8,而TGF-β、激活素和Nodal信号通路则通过Smad2和Smad3[1,2,5]。
研究表明,Nodal的表达与TGF-β1和激活素A共同作用,能够维持人胚胎干细胞(hESCs)在机械应力作用下的多能性[3]。重组Nodal已被证实能够增加基质金属蛋白酶2(MMP-2)的分泌,并促进胶质瘤等癌症模型中的细胞侵袭[3]。对类胚胎(胚胎类器官)的研究表明,Nodal的表达与其他因子(如FGF-2、DKK-1、BMP-4和Wnt信号通路)共同参与轴向模式形成[4]。在hESCs中,重组Nodal被发现能够维持其多能性,并阻止其在体外培养中发生默认的神经外胚层分化[2,5]。
QKine总部位于英国剑桥,是一家通过ISO9001:2015认证的公司。作为蛋白质创新的指引者,产品范围涵盖了多个应用领域,旨在提高您研究的可重复性。QKine积极支持并创新于新兴领域,如类器官和器官芯片、细胞农业、再生医学、合成水凝胶和生物打印等。

凭借强大的制造流程,QKine生产高纯度、高品质、无动物成分的生长因子、细胞因子和其他复杂蛋白质,目前已上架近100种因子,新的产品还在不断上架,其中约30%的产品目录由独特的产品组成,包括无标签的热稳定FGF-2(FGF2-G3),头个无动物、化学成分限定的TGF-β1,用于的干细胞培养基,以及无动物成分的HGF(NK1)。
QKine可以通过提供批量预订、批量订单、定制装瓶和质量保证(QA)来支持规模化和商业制造。曼博生物代理可提供Qkine本地化技术支持,如有需要欢迎咨询了解。
关注“曼博生物”公众号:Mine-bio,获取原文资料,敬请期待QKine的更多新闻。点击进入曼博生物QKine产品页,详细了解每种产品。
[1] Kumar A et al. Nodal Signaling Uses Activin and Transforming Growth Factor-β Receptor-regulated Smads. Journal of Biological Chemistry (2001). doi: 10.1074/jbc.M004649200
[2] Pauklin A, Vallier L. Activin/Nodal signalling in stem cells. Development (2015). doi: https://doi.org/10.1242/dev.091769
[3] Lee C-C, Jan, H-J et al. Nodal promotes growth and invasion in human gliomas. Oncogene (2010). doi: 10.1038/onc.2010.55
[3] Saha S, Ji L, de Pablo JJ, Palecek SP. TGFbeta/Activin/Nodal pathway in inhibition of human embryonic stem cell differentiation by mechanical strain. Biophys J. (2008). doi: 10.1529/biophysj.107.119891
[4] Turner DA, Glodowski CR, Alonso-Crisostomo L et al. Interactions between Nodal and Wnt signalling Drive Robust Symmetry-Breaking and Axial Organisation in Gastruloids (Embryonic Organoids). bioRxiv (2016) doi: https://doi.org/10.1101/051722
[5] Vallier L, Reynolds D and Pedersen RA. Nodal inhibits differentiation of human embryonic stem cells along the neuroectodermal default pathway. Developmental Biology (2004). doi: 10.1016/j.ydbio.2004.08.031
Qkine| Activin E(Qk067)激活素E,减脂代谢新通路关键因子





