发布时间:2026/03/31 点击数:564 人Activin B蛋白是转化细胞因子-β(TGF-β)超家族的成员该家族蛋白在调节细胞生长、存活和分化中发挥关键作用。 研究表明,激活素B参与代谢、组织再生和纤维化过程。重组激活素B已被用于诱导胰腺分化和促进间充质干细胞(MSCs)的伤口愈合,详细背景可查看本文第五部分。如需进一步了解Activin B技术问题,点击咨询上海曼博生物。
Qkine Activin B (Qk024)不含动物源成分,该重组激活素B是一种具有生物活性的25.6 kDa同源二聚体,不含标签和载体,从而提高了产品的可重复性。
高纯度人类蛋白质(Uniprot:P09529)
25.6 kDa(二聚体)
通过SDS-PAGE定量密度测定法测定,纯度>98%。
不含动物源性成分 (AOF) 和载体蛋白
在大肠杆菌中表达
由我们位于英国剑桥的实验室制造
由乙腈和三氟乙酸冻干而成
将样品重悬于 10 mM HCl(复溶液 A)中,浓度 >50 µg/ml,如有需要可添加载体蛋白,制备一次性使用的小份,并冷冻保存于 -20 °C(短期)或 -80 °C(长期)。
替代蛋白质名称:ActC, Activin beta-C chain, INHBC, Inhibin beta C, Qk26
物种反应性:人类。物种相似性:鼠-93%;大鼠 - 91%;牛 - 91%;猪 - 95%;绵羊 - 92%。
经常一起使用:Recombinant human activin C protein (Qk026),Recombinant human activin E PLUS protein (Qk067),Recombinant human activin E PLUS (Avi-tag) protein (Qk082);Recombinant human activin A/B protein (Qk127) ;Recombinant human activin A/C protein (Qk128) ;Recombinant mouse activin E PLUS (Avi-tag) protein (Qk008)
质谱法:具有预期质量的单一物种
存储瓶回收率:>95%
内毒素:<0.05 EU/μg 蛋白(低于检测水平)
采用Smad报告基因检测法,在共转染了激活素B共受体ALK7的HEK293细胞中测定重组激活素B的活性。将HEK293细胞用激活素B的系列稀释液处理6小时,每个浓度设置三个复孔。测定萤火虫荧光活性,并以对照海肾荧光素酶活性进行标准化。数据来自Qk024,批号#204803。EC50 = 0.34 ng/ml (13 pM)。

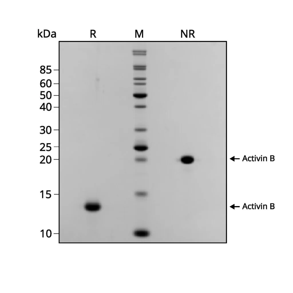
重组Activin B在还原(R)条件下迁移至约13 kDa(单体)处,在非还原(NR)条件下迁移至约20 kDa(二聚体)处,形成一条主要条带。未检测到其他污染蛋白条带。纯化的重组蛋白(3 µg)在还原(+β-巯基乙醇,R)和非还原(NR)条件下,经15% (w/v) SDS-PAGE电泳分离,并用考马斯亮蓝R250染色。数据来自Qk024,批号204803。

代谢药物发现
代谢疾病研究
伤口愈合和组织修复
间充质干细胞研究
激活素是转化生长因子-β (TGF-β) 蛋白家族的成员,该家族包含配体、受体和信号分子,在多种细胞类型的生长、分化和增殖中发挥着至关重要的作用[1-3]。激活素是分泌蛋白,由两条抑制素β链通过二硫键连接而成的二聚体发挥功能。激活素家族成员包括激活素A、激活素B、激活素C和激活素E,此外还包括GDF-8(肌肉生长抑制素)和GDF-11(骨形态发生蛋白-11)。抑制素β链A、B、C和E结合形成功能性激活素配体,其中激活素A由两条抑制素βA链组成,激活素B由两条抑制素βB链组成,激活素C由两条抑制素βC链组成[2-3]。抑制素β链具有同源性,A链和B链之间的序列同一性为63%,与C链之间的序列同一性为50%,它们还可以形成异二聚体,例如激活素AB由抑制素βA和抑制素βB组成,激活素AC由抑制素βA和抑制素βC组成[1-3]。
TGF-β家族配体通过两条主要信号通路激活特定的SMAD转录因子,从而影响多种细胞功能。与1型激活素受体样激酶(ALK)受体ALK4、ALK5和ALK7结合可激活SMAD2/3通路,而ALK1、ALK2、ALK3和ALK6则激活SMAD1/5/8通路[4]。激活素通过1型激活素受体ALK4和ALK7激活SMAD2/3通路。
激活素B与激活素A已被证实能够介导JNK、iNOS和PARP1的激活或表达,以及肝星状细胞(HSCs)的活化,从而驱动肝纤维化的发生和发展[5]。激活素的过表达已被证明对糖尿病的发病机制具有有益作用,它通过诱导成纤维细胞生长因子21(FGF-21)来刺激胰岛素敏感性并减少脂肪,同时通过增加磷酸二酯酶4B(PDE4B)来抑制肝脏中胰高血糖素的作用[6]。在脂肪来源干细胞(ADSCs)中,激活素B能够激活JNK和ERK信号通路,诱导肌动蛋白应力纤维的形成和ADSCs的迁移,从而促进伤口愈合[7]。
[1] Namwanje M, Brown CW. Activins and Inhibins: Roles in Development, Physiology, and Disease. Cold Spring Harb Perspect Biol. 2016 Jul 1;8(7):a021881. doi: 10.1101/cshperspect.a021881.
[2] Reader KL, John-McHaffie S, Zellhuber-McMillan S, Jowett T, Mottershead DG, Cunliffe HE, Gold EJ. Activin B and Activin C Have Opposing Effects on Prostate Cancer Progression and Cell Growth. Cancers (2023). https://doi.org/10.3390/cancers15010147
[3] Goebel EJ, Ongaro L, Emily C Kappes EC et al. The orphan ligand, activin C, signals through activin receptor-like kinase 7. eLife (2022). https://doi.org/10.7554/eLife.78197
[4] Olsen OE, Hella H, Elsaadi S, Jacobi C, Martinez-Hackert E, Holien T. Activins as Dual Specificity TGF-β Family Molecules: SMAD-Activation via Activin- and BMP-Type 1 Receptors. Biomolecules (2020). https://doi.org/10.3390/biom10040519
[5] Wang Y, Hamang M, Culver A et al. Activin B promotes the initiation and progression of liver fibrosis. Hepatol Commun (2022). doi: 10.1002/hep4.2037.
[6] Kobayashi N, Okazaki Y, Iwane A et al. Activin B improves glucose metabolism via induction of Fgf21 and hepatic glucagon resistance. Nat Commun (2025). https://doi.org/10.1038/s41467-025-58836-w
[7] Zhang L, Xu P, Wang X et al. Activin B regulates adipose-derived mesenchymal stem cells to promote skin wound healing via activation of the MAPK signaling pathway. Int J Biochem Cell Biol. (2017). doi: 10.1016/j.biocel.2017.04.004.
QKine , 总部位于英国剑桥,是一家通过 ISO9001:2015 认证的公司。作为蛋白质创新的指引者,产品范围涵盖了多个应用领域,旨在提高您研究的可重复性。QKine积极支持并创新于新兴领域,如类器官和器官芯片、细胞农业、再生医学、合成水凝胶和生物打印等。

凭借强大的制造流程,QKine 生产高纯度、高品质、无动物成分的生长因子、细胞因子和其他复杂蛋白质,目前已上架近100种因子,新的产品还在不断上架,其中约30%的产品目录由独特的产品组成,包括无标签的热稳定FGF-2(FGF2-G3),First个无动物、化学成分限定的TGF-β1,用于的干细胞培养基,以及无动物成分的HGF(NK1)。
QKine可以通过提供批量预订、批量订单、定制装瓶和质量保证(QA )来支持规模化和商业制造。曼博生物代理可提供本地化技术支持,如有需要欢迎咨询。





